Featured Post

12+ Valorant Amazon Prime Skins Pics

View Inverted Papilloma Bladder Images

View Inverted Papilloma Bladder Images. Inverted papillomas are nasal tumors that originate in the mucosal membrane of the nasal cavity and paranasal sinuses. Inverted papilloma of the bladder (ipb) is a rare benign tumor in the bladder.

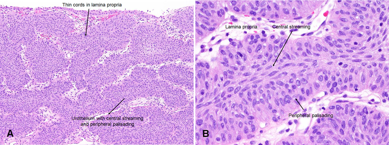
Pathology of Urinary Bladder Inverted Papilloma ...
Pathology of Urinary Bladder Inverted Papilloma ... from img.medscapestatic.com
Urinary bladder inverted papilloma, also known as inverted papilloma of urinary bladder, is related to papilloma and inverted papilloma. The urothelial carcinoma cells were seen colonizing the inverted papilloma. Papilloma of the bladder is a fairly common pathology of the urinary system, but to call exactly the cause that would explain the emergence of formations impossible.

Papilloma of the bladder is a fairly common pathology of the urinary system, but to call exactly the cause that would explain the emergence of formations impossible.

The inverted papillomas of the nose and sinuses are benign, but they can be aggressive and invade the. An inverted papilloma is a type of tumor in which surface epithelial cells grow downward into the underlying supportive tissue. Inverted papilloma of the bladder (ipb) is a rare benign tumor in the bladder. Skull base inverted papilloma (ip) is an unusual entity for many neurosurgeons.

Komentar